Échographie cardiaque et doppler
au Centre Hospitalier Vétérinaire HOPia
Our foreign clients are most welcome !
All our veterinarians are fluent in English !
Les domaines d’application de l’échographie
- Cardiaque
- Autres applications
Fixez un rendez-vous
pour une échographie cardiaque
Notre service d’échographie cardiaque

Le centre hospitalier réalise environ plus de mille échographies par an. Cette technique d’imagerie par ultrasons est absolument sans danger pour votre compagnon et ne nécessite pas d’anesthésie.
La qualité d’une échographie cardiaque est dépendante de deux facteurs :
- L’expérience du vétérinaire
- La qualité de la machine elle-même, un point fondamental. Les technologies évoluant vite, ceci implique d’investir régulièrement pour renouveler le parc des échographes et des sondes.
Le Centre Hospitalier Vétérinaire HOPia réunit ces deux facteurs afin d’essayer de vous apporter le diagnostic le plus juste pour votre animal.
Quand réaliser une échographie cardiaque ?
L’échographie est basée sur l’utilisation d’ondes ultrasonores. Ces ondes sont envoyées par la sonde et se réfléchissent sur les différents tissus qu’elles rencontrent en pénétrant dans le corps. Elles reviennent ensuite à la sonde où elles sont analysées par la machine.
Cet examen est généralement réalisé lors de :
- Souffle cardiaque audible à l’auscultation
- Syncopes, fatigabilité, intolérance à l’effort
- Troubles respiratoires
- Troubles du rythme
- Épanchements abdominal ou thoracique
- En routine en tant que dépistage chez certaines races à risque (Maine Coon, Ragdoll, Cavalier King Charles…)
Déroulé de l’échographie
En pratique, le chien est couché sur le côté sur un matelas confortable. Une petite zone est parfois tondue sur la poitrine, surtout chez les chiens à poils denses (le Husky par exemple).
Des patchs autocollants sont placés sur les coussinets afin d’obtenir un électrocardiogramme concomitant de l’examen échographique.
Afin de limiter le stress chez le chat, la contention est minimale.
Deux échographes GE VIVID E95, la machine de référence en cardiologie humaine
A HOPia, nous disposons de 2 échographes Vivid E95 de GE Healthcare, le dernier né de la gamme Vivid, destinés à la cardiologie.
Nous avons acquis le premier en 2016 puis un autre en 2021.
Cet échographe à très haute résolution est utilisé dans les centres de chirurgie cardiaque humaine. Il a été conçu pour visualiser les situations les plus complexes en matière de cardiologie.

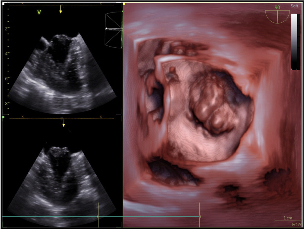
Échographies cardiaques transœsophagiennes
(2 sondes : PÉDIATRIQUE + ADULTE 4D)

L’échographie par voie transœsophagienne (ETO) a l’avantage, par rapport à l’échographie transthoracique (ETT), de contourner la cage thoracique et les poumons, pour aborder directement le cœur et obtenir une haute définition des images. Une sonde ultrasonore est montée sur un fibroscope flexible et introduite dans l’œsophage de l’animal sous anesthésie générale. La sonde endoscopique est directement raccordée à l’échographe.
Les applications pratiques spécifiques de l’ETO concernent surtout :
- l’évaluation précise des maladies valvulaires (insuffisance mitrale en particulier) pendant les chirurgies cardiaques
- l’exploration des endocardites
- la détection de masses et de tumeurs intra- et extracardiaques
- l’étude plus précise des shunts intracardiaques, pendant la chirurgie correctrice ou bien lors du diagnostic de maladies congénitales
- l’étude de la fonction ventriculaire gauche pendant et après les chirurgies cardiaques (contractilité, volume sanguin…)
Technologies additionnelles disponibles à HOPia :
Echographie 4D, Doppler tissulaire, Strain, Speckle Tracking Imaging, Echographie trans-oesophagienne 4D, Logiciel de reconstruction de la valve mitrale
Notre service de doppler
Nous effectuons deux types de dopplers : vasculaire et tissulaire.
Le doppler vasculaire

Le doppler vasculaire (couleur ou spectral) est un examen qui permet d’explorer le flux sanguin dans les artères et les veines. Il a pour but de détecter la présence éventuelle d’un obstacle (par exemple, un caillot) qui empêcherait la bonne irrigation des organes.
Le mode doppler d’un échographe permet ainsi de connaître la direction des flux sanguins ainsi que leur vitesse et d’estimer par calcul les pressions qui règnent dans les cavités cardiaques.
Toutes ces informations sont indispensables au clinicien qui veut dresser un bilan complet des fonctions cardiaques ou de la qualité de l’irrigation des différents organes abdominaux.
La fonctionnalité de doppler vasculaire est intégrée à nos deux machines échographiques.
Déroulé de l’examen :
Il est réalisé concomitamment à une échographie et n’est absolument pas douloureux puisque c’est la sonde échographie qui gère le doppler ; en revanche, le doppler spectral est parfois bruyant lorsqu’il est en marche et cela peut faire légèrement sursauter votre animal.
Le doppler tissulaire

Le doppler tissulaire myocardique permet de mesurer les vitesses de déplacement des différentes parties du muscle cardiaque lui-même, et non plus du sang. Le doppler tissulaire myocardique permet d’étudier les maladies du myocarde, sa viabilité, la contractilité de chaque segment, les infarctus, le synchronisme des contractions…
Très peu de centres de cardiologie possèdent cette fonctionnalité. Elle est intégrée à notre échographe de cardiologie de dernière génération : le Vivid E95 de General Electric.
Déroulé de l’examen :
Il est réalisé concomitamment à une échographie cardiaque si la fonction myocardique doit être examinée plus en finesse.
En savoir plus sur notre service de chirurgie et sur l’endoscopie.
Vous souhaitez d’autres informations ?



